Estética dental en Guadix
¿Qué es la estética dental?
La estética dental es el área de la odontología enfocada en mejorar la apariencia de la sonrisa, manteniendo siempre una correcta salud bucodental. En nuestra clínica dental en Guadix realizamos tratamientos estéticos personalizados para corregir alteraciones de color, forma, tamaño o alineación de los dientes.
Cuándo está indicada la estética dental
Los tratamientos de estética dental están indicados en casos de dientes oscurecidos o manchados, desgastes, fracturas, separaciones entre dientes o sonrisas desalineadas que afectan a la armonía facial.


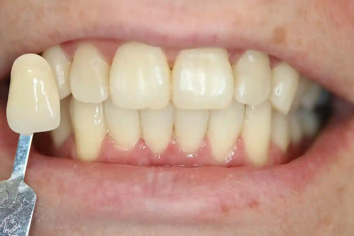
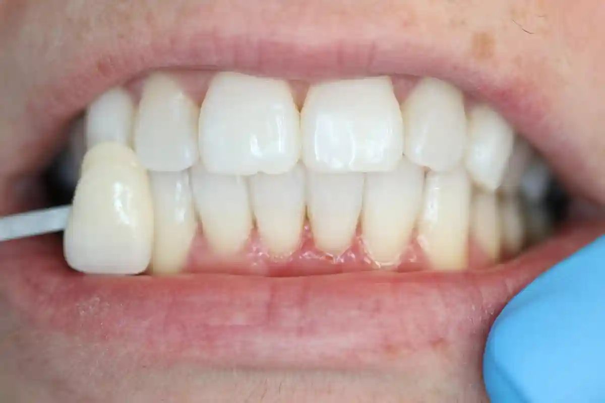
Blanqueamiento dental
El blanqueamiento dental es un tratamiento estético no invasivo destinado a aclarar el color de los dientes y eliminar manchas o decoloraciones.
Tras una evaluación previa, determinamos el tipo de blanqueamiento más adecuado para cada paciente, siempre bajo supervisión profesional.
