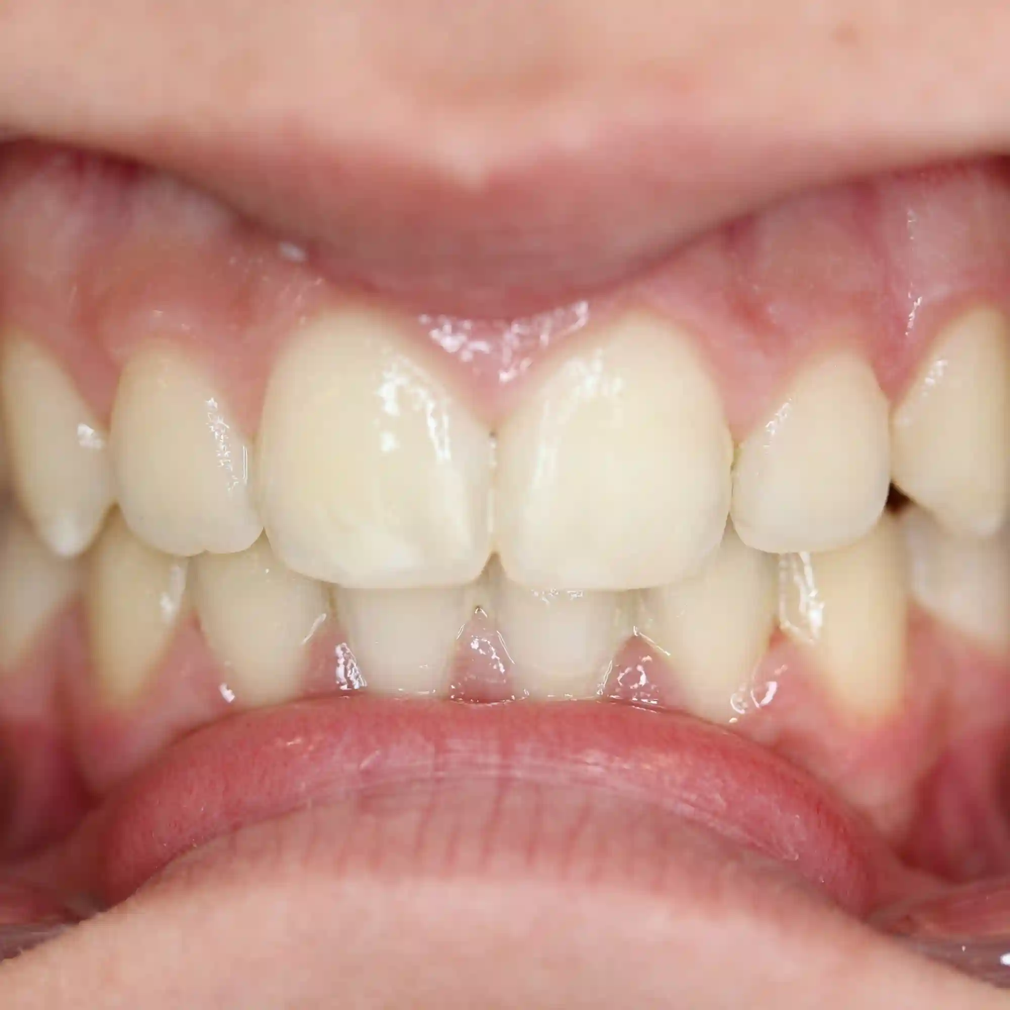
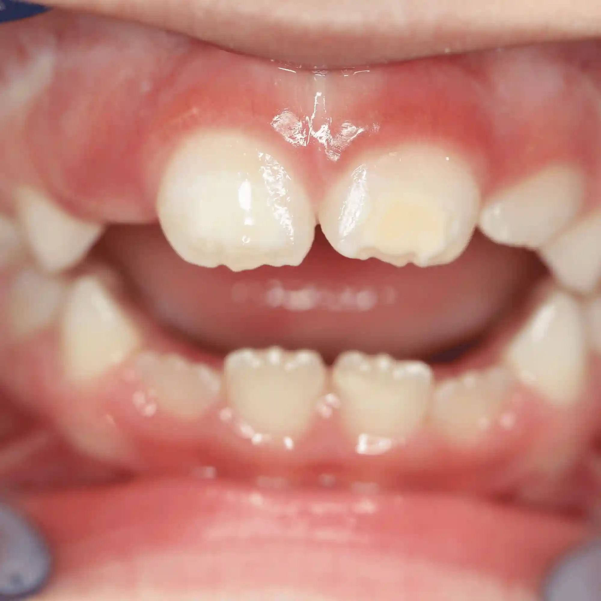
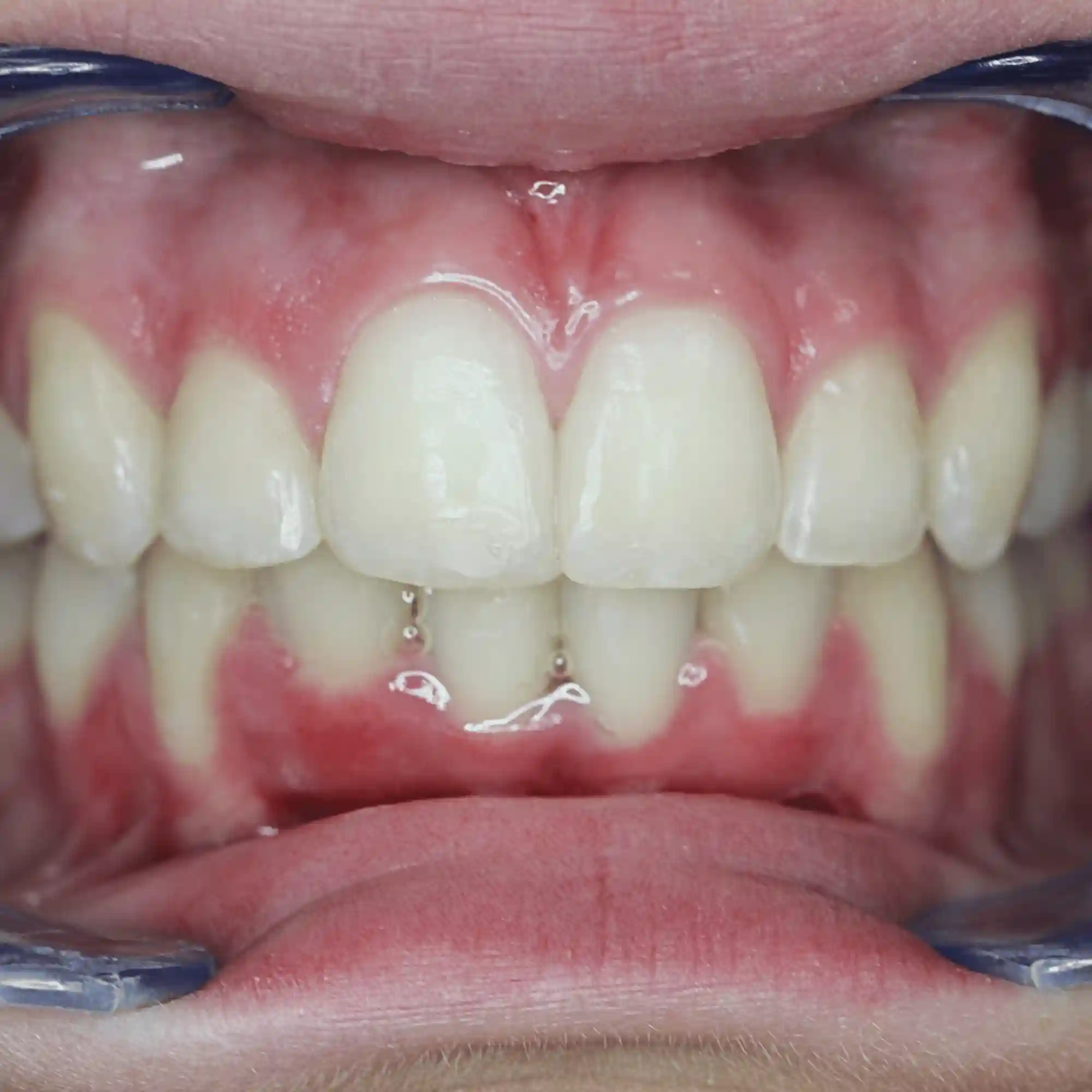
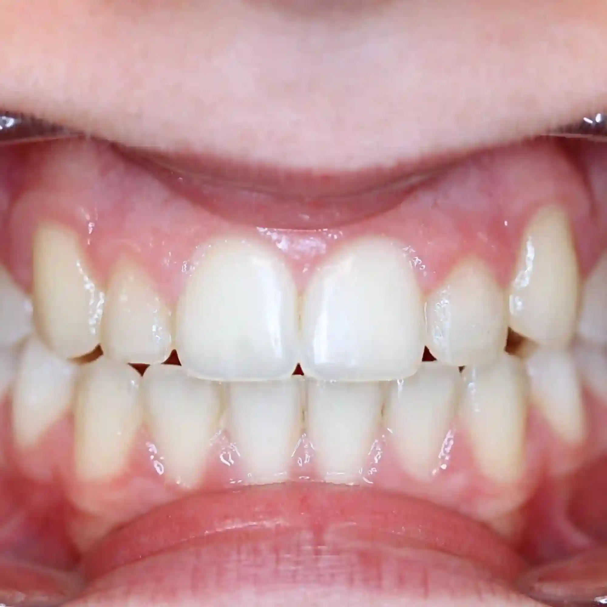
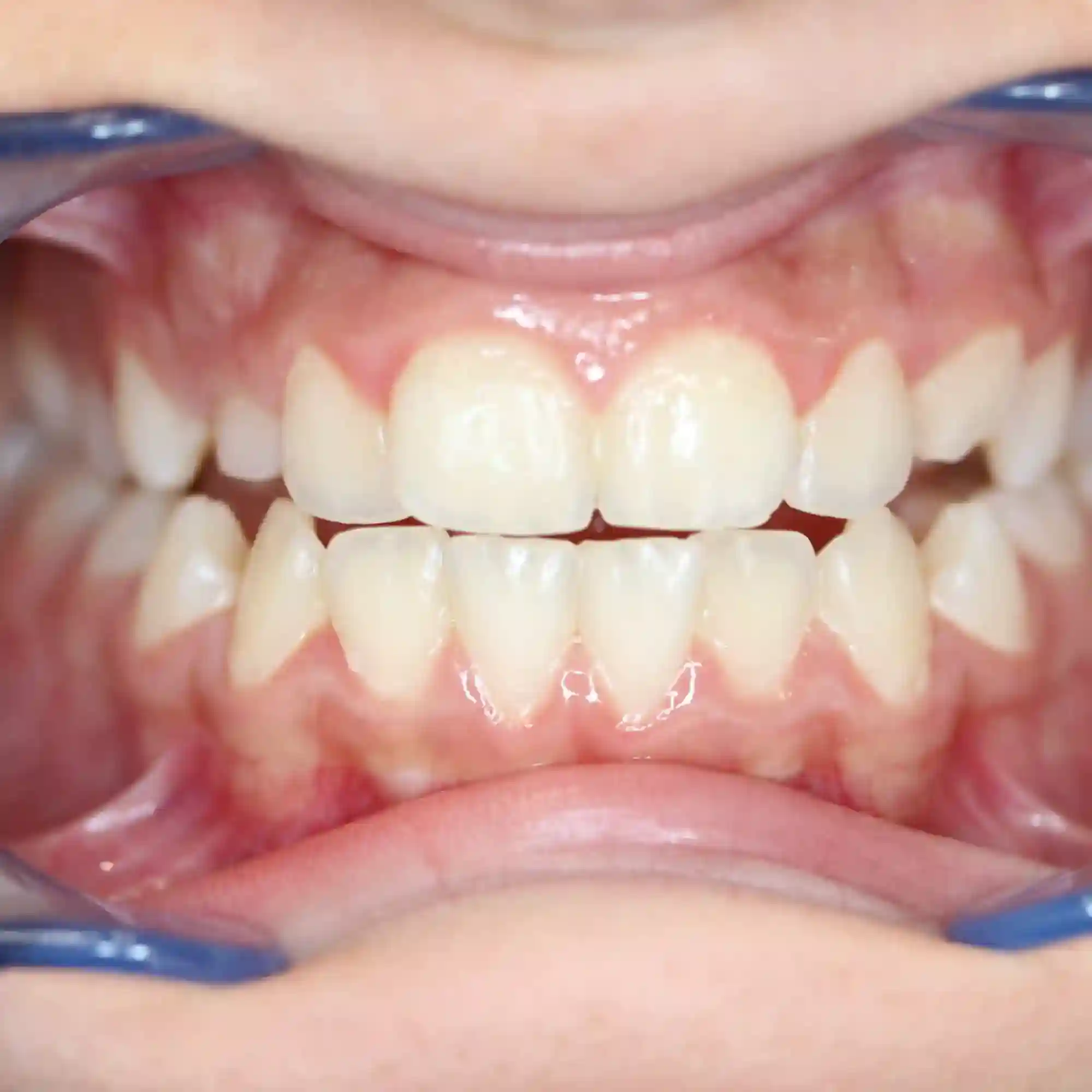
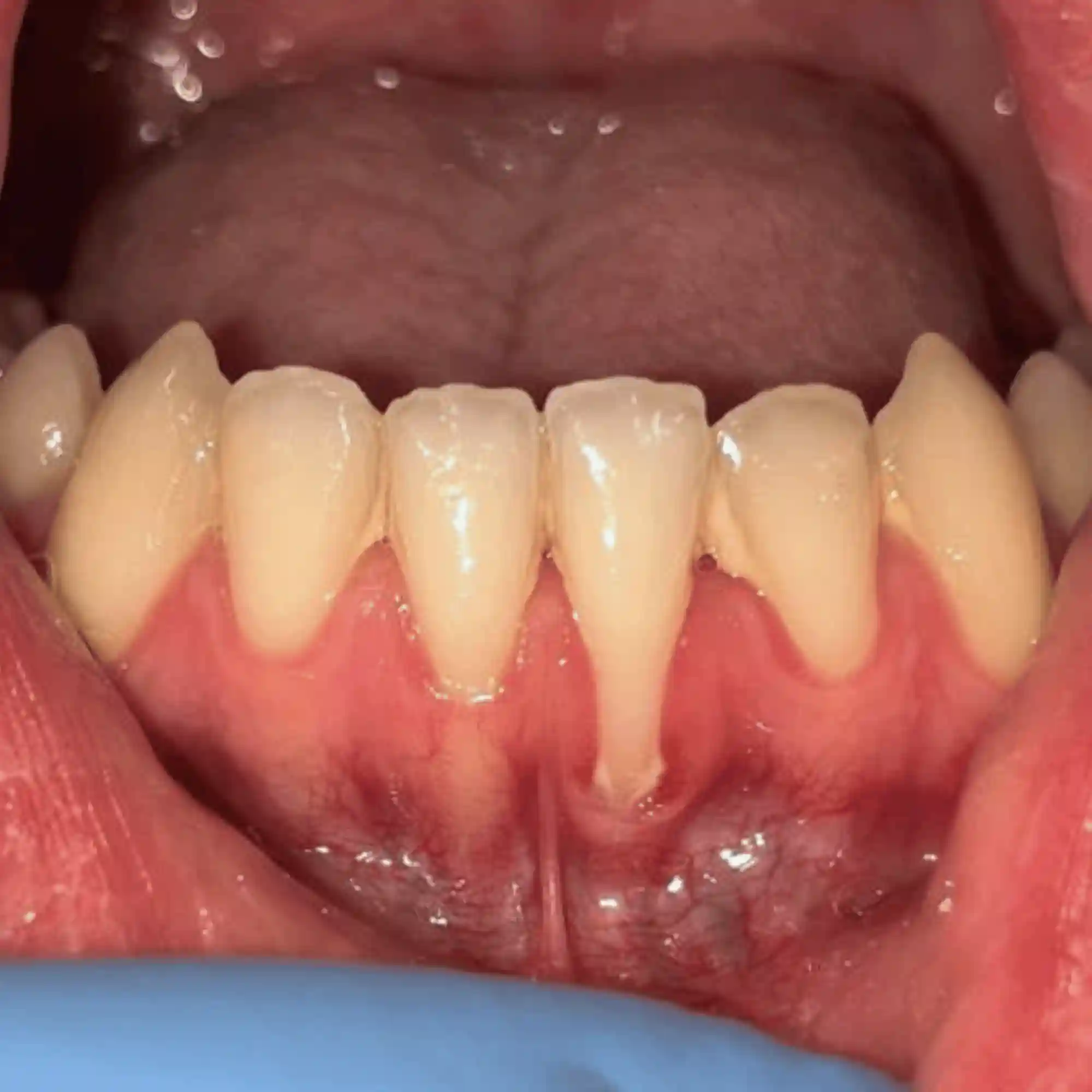
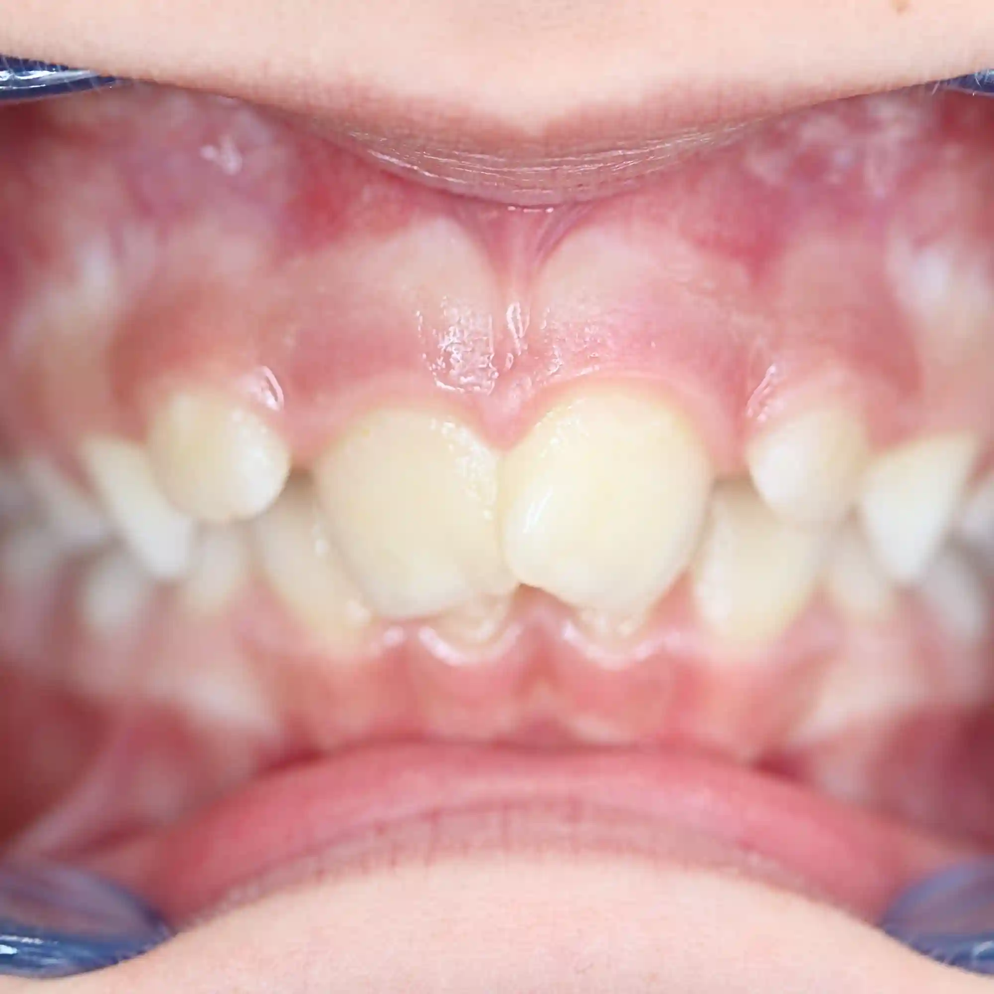
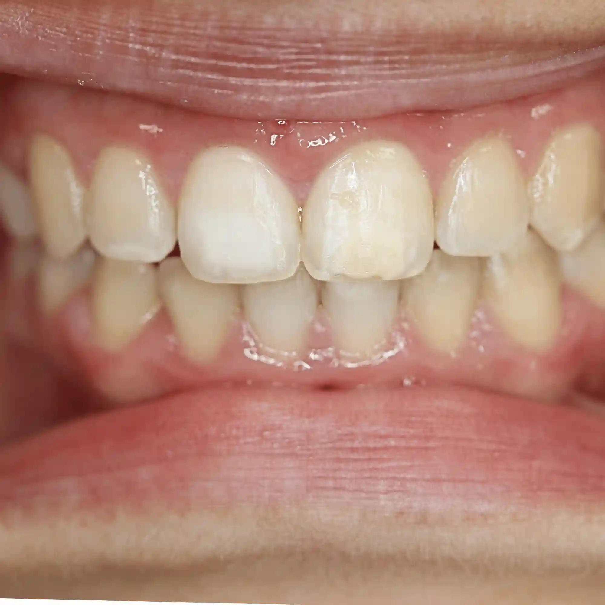
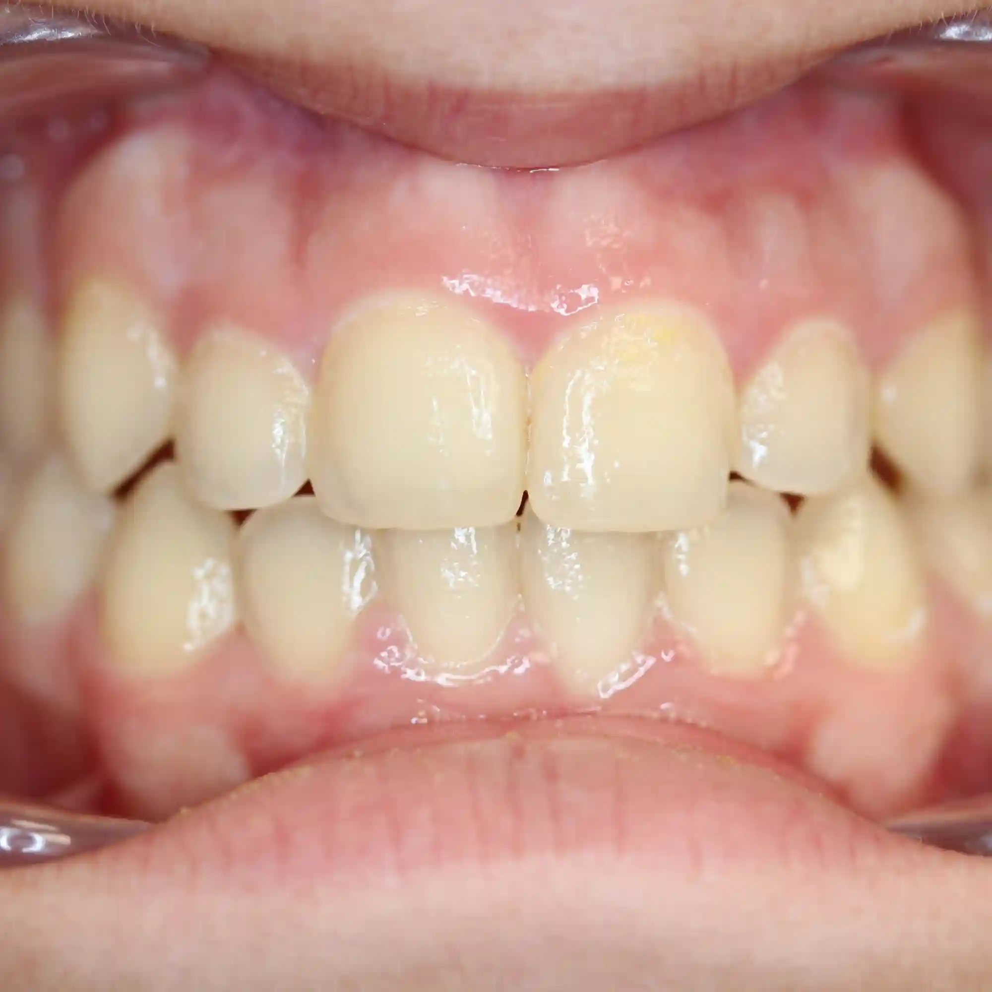
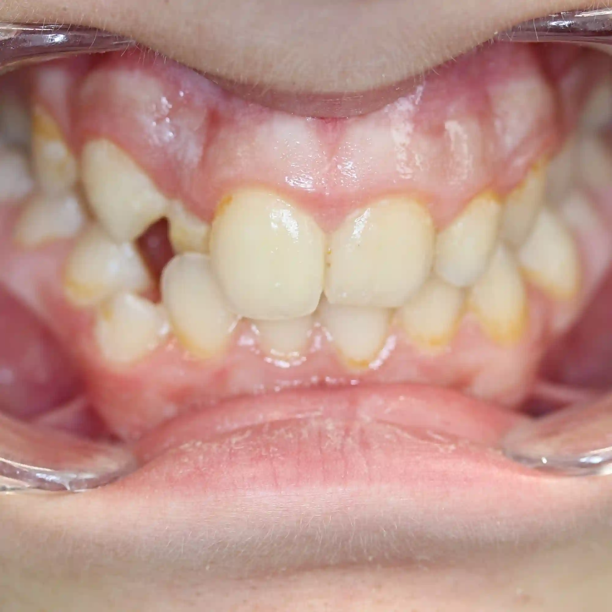
Casos clínicos reales de algunos de nuestros clientes

Mostramos algunos de nuestros casos clínicos reales, con imágenes de antes y después, donde se refleja el diagnóstico, el tratamiento realizado y los resultados obtenidos en nuestros pacientes.

  • Ortodoncia sobremordida y carillas

  • Ortodoncia interceptiva brackets

  • Ortodoncia compresión maxilar severa acompañada de falta de espacio para caninos

  • Carillas de disilicato

  • Coronas de circonio en bruxismo

  • Injerto de encía

  • Coronas de circonio

  • Ortodoncia corrección de apiñamiento severo

  • Mordida cruzada anterior lateral con ortodoncia

  • Mordida anterior con ortodoncia

  • Blanqueamiento

  • Maloclusión de Clase II